More than beautiful smiles.
Discover the benefits of cosmetic treatments.
Cosmetic treatments can enhance your natural beauty and boost your confidence. Understanding the benefits and processes can help you make informed decisions about your aesthetic journey.
- A More Confident Smile
- Correction of Poorly Aligned Teeth
- Restoration of Severely Worn Teeth
Cosmetic care services.
Explore our cosmetic services designed to enhance your smile and boost your confidence. From teeth whitening to complete smile makeovers, we have solutions tailored just for you.
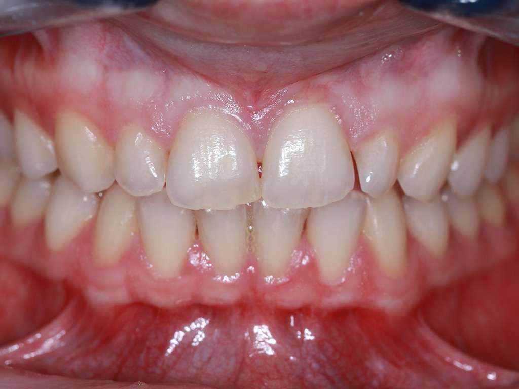
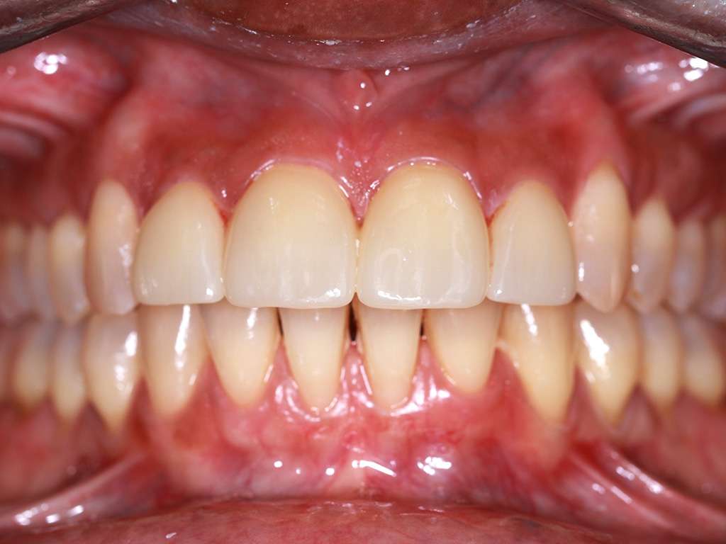
Cosmetic Crowns
There are many reasons to consider a cosmetic crown—from reshaping or restoring damaged teeth to making slight adjustments in alignment. We work closely with a local lab known for its quality and expertise, using high-end ceramic to craft crowns that look natural and enhance your smile.
Benefits of Cosmetic Crowns:
- Improved Aesthetic of Teeth
- Restoring Damaged or Worn Teeth
- Mild Corrections to Improve Bite & Align Teeth
Teeth Whitening
Teeth naturally discolor over time from things like coffee, tea, wine, and smoking—and surface texture or minor enamel defects can make stains more noticeable. To help restore a bright smile, we offer at-home whitening options, including Opalescence Go prefilled trays for quick, effective results and custom trays made from a 3D scan for more precise, reusable whitening. Both options use professional-strength gels and can be tailored to your needs for safe, noticeable improvement.
Benefits of Teeth Whitening:
- Brighter, Whiter Smile
- Can Be Done from the Comfort of Your Home
- Ability to Whiten Periodically as Needed
Veneers
Veneers are a great option for improving discolored, misshaped, or slightly misaligned teeth, especially when whitening isn’t enough. Made from ceramic and bonded only to the front of the tooth, veneers require less shaping than crowns and can offer a beautiful, natural-looking result. Ask us if veneers are the right fit for your smile makeover.
Benefits of Veneers:
- Improve Permanently Discolored Teed
- Improve the Shape & Overall Look of Your Smile
- Less Removal of Natural Tooth Structure
Clear Aligner Orthodontics
If you want straighter teeth but prefer to avoid traditional braces, clear aligners may be a great option. We use Clear Correct, a trusted system from Straumann, to create custom trays based on 3D scans and photos of your teeth. These clear, removable aligners are comfortable, discreet, and make brushing and flossing easy. They’re effective for mild to moderate alignment issues—ask our team if Clear Correct is right for you.
Benefits of Clear Aligner Orthodontics:
- Get Your Ideal Smile
- More Comfortable Than Braces
- Significantly Easier to Clean Your Teeth
Real patients. Real results.
Hear from some of our amazing patients.
“My husband and I had our appointments at the same time. The entire staff is awesome! They have all the latest technology which made our visit pleasant. The cleaning was the gentlest we’ve ever had. This office is very organized and there is a great flow from start to finish. Highly recommend!”
Karen W.
via Google Reviews
“Dr. Warnock and his staff were friendly and helpful. Every step of the visit was explained in detail and I felt comfortable in their care.
I would recommend this practice to anyone looking for a trustworthy team that does excellent work.”
Alisa O.
via Google Reviews
“Finding a new dentist sucks. My wife and I moved here from Seattle and have not had great luck finding a good dentist with good hygienists. My neighbor referred us to Main Street and we are both thrilled with our visits. We each had different dentists and hygienist and everyone was amazing.”
Shay M.
via Google Reviews
“I feel I made a good choice by going to Main Street Dentistry. The doctor and techs are thorough and nice. Everyone seems to care about the patient, in this case me.
Now, after a year of being a patient, I can very comfortably say this is the best dentistry. I highly recommend them.”
Secret Patient
via Google Reviews
Your happy, healthy smile starts here.
Experience top quality dental care tailored to your needs from a friendly, caring and experienced team. Schedule your appointment with us today.
Frequently Asked Questions.
I want to improve my smile, but I'm not sure what the right steps are. What cosmetic treatment should I consider?
There are a lot of factors that go into determining what course of treatment would be best to achieve your ideal result. We suggest reaching out for a consultation to discuss your goals and what treatment might be best for you.
I had braces before but my teeth have shifted a bit. I don't want them to get crooked again, what can I do.
These are great cases to be treated with Clear Correct aligners. They are often short treatment windows and with our flex pricing, you only pay for what your treatment requires. This can often be a great alternative to a full orthodontic treatment with the specialist.
Will whitening my teeth damage them?
Whitening your teeth will not damage them. Some people experience sensitivity after whitening which is not permanent. For people who experience sensitivity after whitening we often recommended a lower concentration of whitening gel for less time. We also recommended sensitivity toothpaste. Sensitivity with whitening is not extremely common.